こんにちは。
院長の佐藤博宣です。
今回は中心結節という歯の出っ張りの話です。
歯の形態異常である中心結節という突起は、小学生くらいの永久歯が生えてきた時期、ご家族の仕上げ磨き時に気づくこともあります。
下の奥歯と前歯の間くらいの小臼歯という歯に生じやすいです。
6歳臼歯の手前の小臼歯生じやすい
レントゲンにおいても、突起の中央の先端まで、神経の黒いスジがはいりこんでいます。
厄介なことに、突起の先端まで神経が入り込んでいることが多いです。
硬い食べものがこの中心結節に当たり突起が折れてしまうと、内部の神経まで細菌感染が進み、神経が死んでしまいます。
そうすると根尖性歯周炎という根の先端に膿の袋が生じる病気になり、歯肉が腫れたり、咬むと痛くなってきます。
レントゲン画像で根尖性歯周炎の病巣、黒い影が見られます。
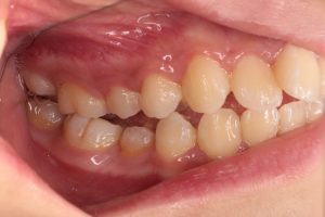
左の写真は上下の歯がかみ合っていない状態、右の写真は上下の歯がかみ合っている状態
右の写真のようにかみ合っているのが正常ですが、中心結節の突起が折れてしまいやすいので早めの処置が必要です。

左は処置前、右は処置後。突起の周りをプラスチック樹脂で補強する処置になります。
補強した上、突起を2~3ヶ月毎にわずかに低く削っていくと、徐々に神経も小さくなって突起が折れるリスクが軽減します。

このように、中心結節は様々な形があります。
ただ、ご家族がお子さんの仕上げ磨きをした際に、注意深く見てみてください!
見つけた際は早めに受診をおすすめします。
