明けましておめでとうございます。
院長の佐藤博宣です。
本年もスタッフ一同、より良い歯科医療を提供すべく頑張って参ります。
よろしくお願いいたします。
今回は歯の汚れについてです。
毎日、歯ブラシ、フロス、歯間ブラシ、うがい薬等行っていても少しずつ磨き残しが蓄積してきます。
それは歯の表面にバイオフィルムというヌメリ、ばい菌の膜が生じることから始まる為です。
台所のシンクやお風呂になどで、ヌメリを感じることを経験された方がほとんどだと思います。
歯の表面にも同じヌメリが気づかないうちに生じてきます。


ばい菌が作ったヌメリ、バイオフィルムは歯ブラシでこすってもなかなか落ちません。
実際にはテレビのコマーシャルにあるようなイメージで、さっとバイオフィルムは取れてくれません。
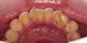
20代の方の初診時ですが、歯並びのガタガタ(叢生)の部位にだんだんとたまった歯石がみられます。

毎日のお手入れで取り残したバイオフィルムが、雪だるま式に歯石になってきます。
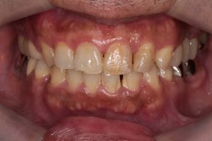
こちらは50代の患者さんです。

歯の表面のざらつきが写真でもわかります。
歯と歯の間が空いている下の前歯の間には大きな歯石のかたまりも見られます。
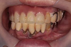
こちらは70代の方です。

下の前歯は歯石が継続的に付着しているため、歯肉も支える骨(歯槽骨)も退縮し、歯の根が露出してきています。
このように、歯の汚れは年代に関係なく蓄積してきて、痛みの無いまま歯周病や虫歯が進行してしまうものです。
歯の定期クリーニングは3カ月毎、年4回ほどが一番効率が良いとされています。
日本人は何かあったら歯科へ行く方もまだいらっしゃいますが、きちんと定期的にクリーニングされているのが世界の歯科先進国の習慣です。
多少痛いこともあるなど怖いかもしれませんが、歯科で定期メインテナンスを受けましょう。
